مزایای باندینگ دندان
چه کسانی مناسب باندینگ دندان هستند؟
باندینگ دندان یک روش ترمیمی و زیبایی است که برای افرادی با سلامت عمومی و دهانی خوب مناسب است. این درمان میتواند مشکلات دندانهای پوسیده، شکسته و تغییر رنگ داده را رفع کند. در این مقاله، به معرفی کاندیدای مناسب باندینگ دندان و مزایای آن پرداختهایم.
کاندیدای مناسب باندینگ دندان
باندینگ دندان یک روش کارآمد و کمتهاجم است که برای درمان و زیباسازی دندانها استفاده میشود. در ادامه، به بررسی گروههایی میپردازیم که میتوانند از این روش بهرهمند شوند:
1. افرادی که نیاز به ترمیم دندان دارند:
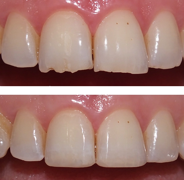
اگر دندانهای شما دچار پوسیدگی، شکاف یا لبپریدگی شدهاند، باندینگ میتواند برای ترمیم این مشکلات استفاده شود. همچنین، این روش برای درمان ریشههای بیرون زده یا دندانهای آسیبدیده ناشی از تحلیل لثه مناسب است. با این حال، افرادی که دچار بیماری لثه یا پوسیدگی شدید هستند، ابتدا باید این مشکلات را درمان کرده و سپس به سراغ باندینگ بروند.
2. افرادی که به دنبال تغییرات ظاهری در دندانها هستند:
باندینگ دندان یک راهکار زیبایی کمتهاجم است که برای افرادی که به دنبال بهبود ظاهر دندانهای خود هستند، مناسب میباشد. این روش میتواند برای متقارنسازی دندانها، پوشاندن حفرههای کوچک، افزایش طول دندانها و اصلاح تغییرات ظاهری دندانها استفاده شود. اگر دندانهای شما به دلیل تغییر رنگ، ترک یا فاصلههای زیاد ظاهر مناسبی ندارند، باندینگ میتواند ظاهر دندانهای شما را بهبود بخشد.
3. افرادی که به دنبال درمانی قابل برگشت هستند:
یکی از ویژگیهای مثبت باندینگ دندان این است که برای انجام آن نیازی به تراشیدن مینای دندان نیست. این امر باندینگ را به گزینهای مناسب برای افرادی تبدیل میکند که به دنبال درمانی برگشتپذیر هستند. علاوه بر این، هزینه این روش نسبت به سایر درمانهای زیبایی و ترمیمی دندان مانند لمینتها و روکشها بسیار مقرون به صرفهتر است.
4. افرادی با نیازهای ارتودنسی:
باندینگ دندان میتواند برخی مشکلات ارتودنسی را بدون نیاز به بریس یا دیگر درمانهای پیچیده اصلاح کند. با تایید دندانپزشک، این روش برای رفع دیاستما (فاصلههای بین دندانها)، تنظیم فاصلهها و تغییر جایگاه دندانها مناسب است. در مواردی که مشکلات ارتودنسی کمتری وجود دارد، باندینگ میتواند به عنوان جایگزینی برای روشهای پیچیدهتر مانند ارتودنسی ثابت یا متحرک عمل کند.
این روش درمانی برای افرادی که به دنبال یک راه حل ساده، سریع و کمهزینه برای مشکلات دندانی خود هستند، گزینهای ایدهآل است.
مزایای باندینگ دندان
باندینگ دندان دارای مزایای متعددی است که آن را به گزینهای محبوب برای بسیاری از افراد تبدیل کرده است:
- نصب آسان و کمتهاجم: باندینگ به راحتی قابل انجام است و نیازی به جراحی ندارد.
- ترمیم پوسیدگیها: باندینگ میتواند دندانهای پوسیده را ترمیم کند.
- بازسازی دندانهای شکسته: این روش برای دندانهای ترکخورده و لبپر نیز موثر است.
- اصلاح رنگ دندانها: باندینگ میتواند تغییرات رنگ دندانها را بهبود ببخشد.
- رفع فاصله بین دندانها: باندینگ میتواند فاصلههای کوچک بین دندانها را پر کند.
- افزایش طول دندانها: این روش به راحتی طول دندانها را افزایش میدهد.
- هزینه مناسب: هزینه باندینگ نسبت به روشهای دیگر ترمیم دندان کمتر است.
معایب باندینگ دندان
با وجود مزایای متعدد، باندینگ دندان معایبی نیز دارد که باید در نظر گرفته شوند:
- جرمگیری سریعتر: این روش به مرور زمان ممکن است سریعتر جرم بگیرد.
- طول عمر کمتر: باندینگ معمولاً 10 تا 15 سال دوام دارد که نسبت به سایر درمانها مانند لمینت کمتر است.
- آسیبپذیرتر: این روش ممکن است در برابر فشار و ضربه آسیبپذیر باشد.

- رنگپذیری: در صورت عدم رعایت رژیم غذایی، باندینگ ممکن است تغییر رنگ دهد.
- احتمال حساسیت: در برخی افراد ممکن است واکنشهای آلرژیک یا حساسیت ایجاد شود.
زمان مناسب برای انجام درمان
باندینگ دندان بهعنوان یک روش ترمیمی سریع و جذاب شناخته میشود. این درمان معمولاً زمانی مناسب است که بخواهید ترمیمهای موقتی و اصلاحات ظاهری روی دندانهای خود انجام دهید.
مراحل باندینگ دندان
باندینگ دندان یک روش سریع و کمتهاجم برای ترمیم و زیباسازی دندانها است که شامل چندین مرحله ساده اما دقیق میباشد. در اینجا، مراحل انجام باندینگ دندان بهطور کامل و شفاف توضیح داده میشود:
1. آمادهسازی دندان
در اولین مرحله، دندانپزشک ابتدا دندانها را از نظر سلامت بررسی میکند. برای این کار، ممکن است از تصاویر رادیوگرافی یا سایر ابزارهای تشخیصی برای بررسی وضعیت دندان و لثه استفاده کند. اگر دندانها سالم باشند و هیچ مشکل جدی مانند پوسیدگی عمیق یا بیماری لثه وجود نداشته باشد، فرایند باندینگ آغاز میشود. در صورتی که دندان دچار پوسیدگی یا آسیبهای شدید باشد، ممکن است نیاز به درمانهای پیشنیاز وجود داشته باشد.
2. تطبیق رنگ
بعد از ارزیابی وضعیت دندان، دندانپزشک به انتخاب رنگ مناسب رزین کامپوزیت میپردازد. رنگ رزین باید به گونهای انتخاب شود که با رنگ طبیعی دندانها هماهنگ باشد و ظاهری یکدست و طبیعی ایجاد کند. این مرحله اهمیت زیادی دارد چرا که رنگ درست، نتیجه نهایی باندینگ را طبیعیتر میکند.
3. کاربرد باندینگ
در این مرحله، دندانپزشک سطح دندان را با استفاده از یک محلول رقیق اسید فسفریک میساید. این اسید به طور موقت سطح دندان را زبر میکند، که باعث میشود رزین کامپوزیت بهتر به دندان چسبیده و اتصال قویتری برقرار شود. پس از آن، اسید بهطور کامل شسته میشود و دندانپزشک رزین کامپوزیت همرنگ دندان را روی سطح دندان میزند. این رزین به دندان شکل داده میشود تا به طور کامل با ظاهر و ساختار دندان هماهنگ گردد. این مرحله به این هدف صورت میگیرد که رزین کامپوزیت با دندان پیوندی قوی و محکم برقرار کند. از آنجا که این رزین با دقت بر روی دندان اعمال میشود، این اتصال قوی باعث میشود که دندان ترمیمشده، طول عمر بالایی داشته باشد و مشکلی در حفظ وضعیت زیبایی آن به وجود نیاید.
در نهایت، این مرحله از باندینگ به دندان شما یک ظاهر کاملاً طبیعی و بهبود یافته میدهد که هیچگونه تفاوتی با دندانهای سالم و اصلی نخواهد داشت.
4. کیورینگ (سختسازی رزین)
بعد از اعمال رزین کامپوزیت، دندانپزشک برای سخت کردن رزین از نور UV یا LED استفاده میکند. این نور مخصوص، رزین را به سرعت سفت میکند و آن را در موقعیت خود ثابت میکند. این فرایند به نام «کیورینگ» شناخته میشود و معمولاً فقط چند ثانیه طول میکشد. پس از آن، دندانپزشک رزین سفتشده را پولیش میدهد تا سطح دندان صاف و براق شود. همچنین، دندان باید با دندانهای مجاور هماهنگ شده و هیچ تیزی یا اضافی نداشته باشد. این مرحله باعث میشود دندان ظاهر طبیعی و جذابی پیدا کند.
روشهای جایگزین
چندین روش درمانی برای جایگزینی باندینگ وجود دارد که شامل:
- ونیرها: پوستههای نازک برای بهبود ظاهر دندانها.
- روکشها: برای ترمیم دندانهای آسیبدیده.
- اینویزیلاین: برای اصلاح دندانهای کج و نامرتب.
- سفید کردن دندان: برای رفع لکههای دندان.
- ایمپلنت دندان: برای جایگزینی دندانهای از دست رفته.
آیا میتوان باندینگ دندان را برداشت؟
بله، باندینگ دندان بهدلیل عدم تراشیدن مینای دندان، قابل برداشت است و هیچ آسیبی به دندان وارد نمیکند.
انواع باندینگ دندان
- باندینگ مستقیم: رزین کامپوزیت مستقیماً روی دندان اعمال میشود.
- باندینگ غیرمستقیم: ترمیمها در لابراتوار ساخته شده و سپس به دندانها چسبانده میشوند.
انتخاب بین این دو نوع بستگی به نیازهای دندانی، هزینه و دوام مورد نظر شما دارد.
باندینگ دندان یک گزینه فوقالعاده برای بهبود ظاهر دندانها و رفع مشکلات ظاهری است. این درمان سریع، کمهزینه و طبیعی است و میتواند برای بسیاری از مشکلات دندانی راهحل مناسبی باشد. اگر به دنبال یک روش ترمیمی بیدردسر و با نتیجهای طبیعی برای دندانهای خود هستید، گزینهای عالی برای شما خواهد بود.
سبد خرید شما خالی است 